Skip to main content
Skip to main content
College of Natural and Agricultural Sciences
UCR Home
Search
Quick Links
Find People
UC Riverside
International Organization of Citrus Virologists
Citrus Disease Research
Search
About Us
About the Organization
IOCV By-Laws
Membership
Board of Directors
Donate to IOCV
Newsletters
Citrus Diseases
Conferences
Publications
Links
Links of Interest
Related Scientific Societies
Contact
UCR Home
Quick Links
Find People
Breadcrumb
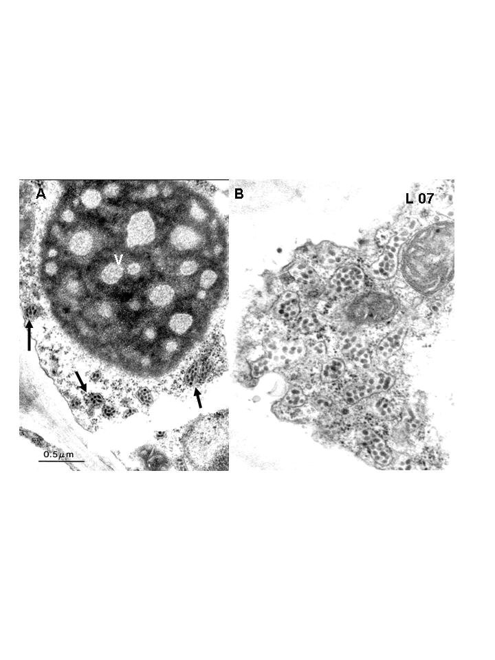
Leprosis 07
Please Click Here to Download the Image
Let us help you with your search
×
Enter your Search Criteria
Search All UCR
Search This Site
Cancel